관악왕플란트치과

환자 한 사람 한 사람의 마음을 이해하는 환자중심의 치과로
진심을 담은 진료, 양심을 담은 치료를 합니다.

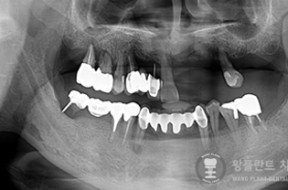
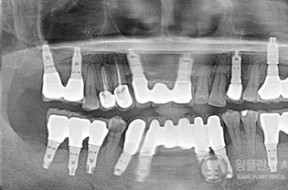
전후사례
게시물 검색

+

서울시 관악구 남부순환로 1814 대연빌딩 5층

병원소개  오시는길  진료안내  개인정보취급방침  홈페이지이용약관  비급여진료수가 안내